Lompat ke konten Lompat ke sidebar Lompat ke footer

View Mac Bacteria In Lungs PNG

View Mac Bacteria In Lungs PNG. It can also spread and cause disease throughout your body. However, not everyone is at risk of there are many species of ntm.

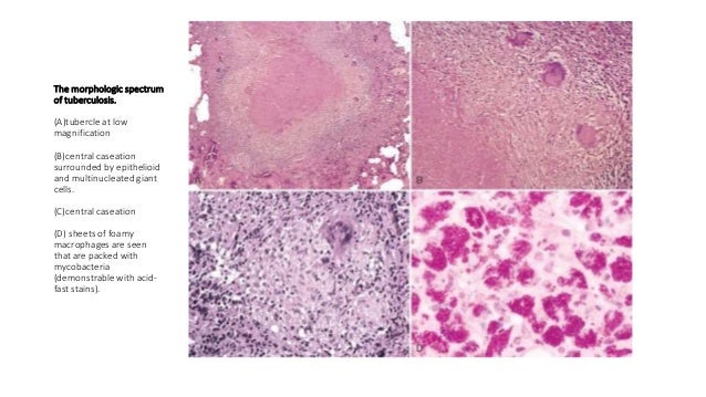
Mycobacterial diseases
Mycobacterial diseases from image.slidesharecdn.com
We may not realize that when we inhale or breathe, we are susceptible to infection. Mac lung disease is caused by bacteria mycobacterium avium complex (mac) is the most common form of nontuberculous mycobacteria (ntm). While our study provides evidence that variation in the oral microbiome plays a role in lung cancer.

Lactic acid bacteria in health and disease, in lactic acid bacteria, microbiology and functional aspects, 2nd ed., editors salminen s and von wright a, marcel dekker inc., newark, 1998.

We may not realize that when we inhale or breathe, we are susceptible to infection. In earlier works, the authors described the. Mac usually affects patients with abnormal lungs or bronchi. Symptoms are reminiscent of tuberculosis (tb), and development of mycetoma in a lung cavity.

Posting Komentar untuk "View Mac Bacteria In Lungs PNG"